
L’imagerie médicale peut désormais visualiser les vaisseaux sanguins cérébraux
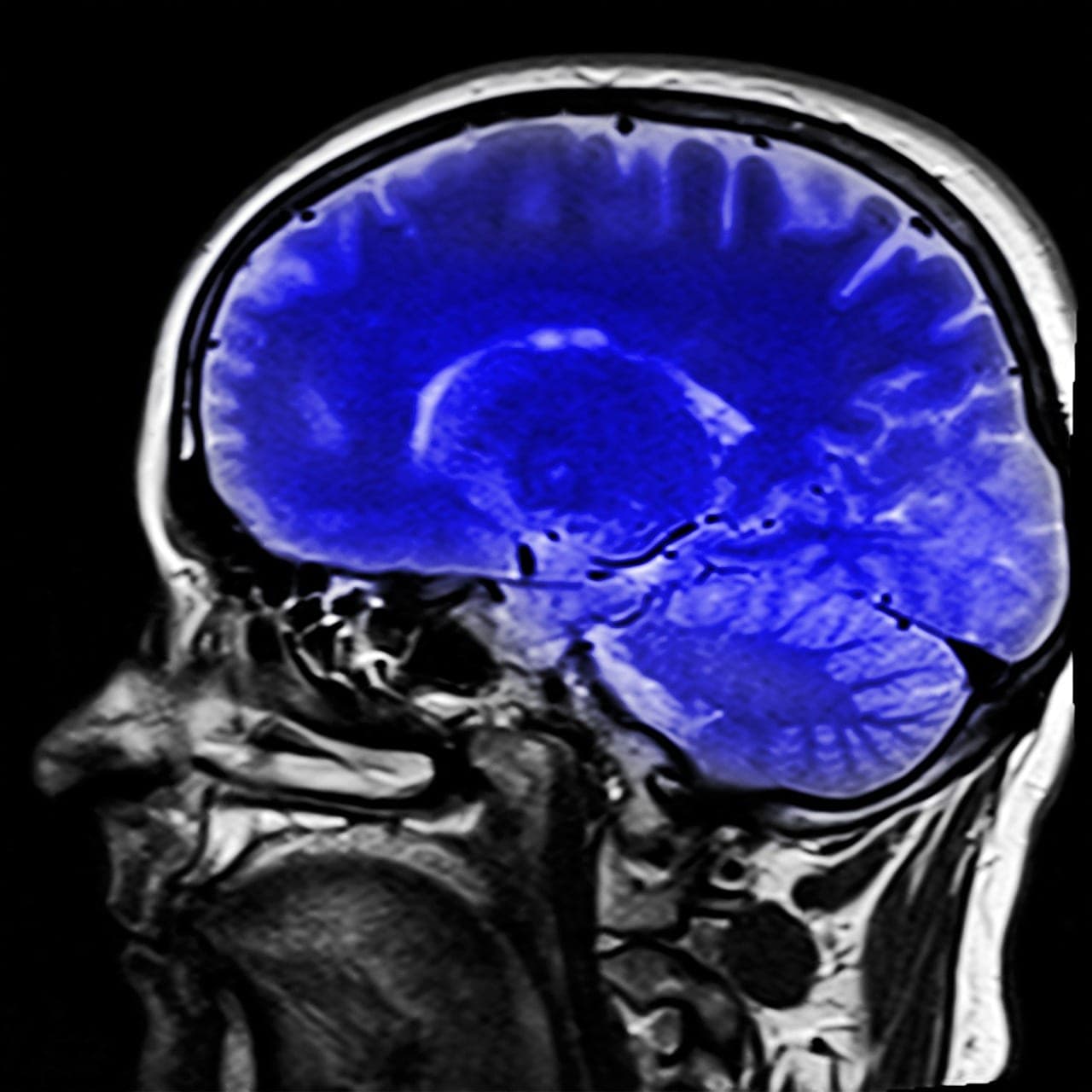
Des chercheurs français ont mis au point une technique qui pourrait révolutionner l’imagerie cérébrale médicale. Elle permet la visualisation des vaisseaux sanguins du cerveau à une échelle microscopique.
Une équipe de chercheurs du Laboratoire physique pour la médecine de Paris, affiliée à l’Inserm ainsi qu’à l’ESPCI Paris-PSL et au CNRS a expérimenté une nouvelle technique d’imagerie cérébrale médicale. Elle permet de visualiser la dynamique du flux sanguin cérébral à l’échelle microscopique. Cette technique est non invasive et repose sur l’utilisation d’ultrasons. Cette nouvelle technologie permettrait aux chercheurs et médecins d’observer le flux sanguin dans les vaisseaux du cerveau. Cela donnerait ainsi des informations sur la vitesse d’écoulement de ce flux, mais aussi sur sa direction.
Pour mettre au point cette technologie, les chercheurs de ces instituts se sont appuyés sur les recherches des dix dernières années dans le domaine des ultrasons. Ils se sont surtout penchés sur les études de 2011, portant sur l’imagerie ultrarapide de visulisation des petits flux sanguins, et celle de 2015, sur la microscopie de localisation ultrasonore. C’est la première fois que de tels tests sont réalisés sur des humains.
Utiliser des microbulles fluorescentes pour réfléchir les ultrasons
Comme l’explique à Futura Charlie Demené, maître de conférences à l’ESPCI Paris-PSL et chercheur au Laboratoire physique pour la médecine de Paris, la mise au point de cette innovation a été complexe. Le principal problème ? L’os crânien ! Sa taille vient entraver l’imagerie ultrasonore. Sa structure absorbe et modifie la propagation des ultrasons. Le faisceau ultrasonore envoyé subit des distorsions ce qui rend impossible une reconstruction de l’image.
Les chercheurs ont finalement utilisé des microbulles fluorescentes. Elles ont un diamètre de deux microns et sont enveloppées dans une bicouche lipidique spécialement conçue pour la pratique clinique. Ces microbulles passent dans la vascularisation et se répandent de façon à être isolées. A leur contact, les ultrasons sont réfléchis, ce qui crée une onde sphérique qui repasse à travers le crâne et permet de mesurer précisément la distorsion qu’induit l’os. Elles sont très facilement localisables.
Cette technologie pourrait permettre de mieux surveiller les anévrismes, comprendre ce qui les déclenche, mieux prévenir et mieux traiter cette pathologie.
Partagez cet article





